Teléfono: 956 59 72 88

logo
  • Inicio
  • ¿Quiénes somos?
  • Ventajas RMN Abierta
  • Estudios RMN
  • Ubicación
  • Citas
  • Pacientes
  • 956 59 72 88
  • sanfernando@cmdi.es

EJEMPLOS DE IMÁGENES DE RMN

  • Inicio
  • Galería de imágenes
  • Todas las imagenes
  • Con patología
  • Sin patología
  • RESONANCIA NORMAL TOBILLO SAGITAL T1
  • RESONANCIA PATOLÓGICA DE COLUMNA LUMBAR - SAG T2
  • RESONANCIA NORMAL SACROILIACAS COR T2
  • RESONANCIA PATOLÓGICA DE HOMBRO - FRACTURA TROQUITER -  COR T1
  • RESONANCIA NORMAL SACROILIACAS  AXIAL T1
  • RESONANCIA PATOLÓGICA MENISCOPATIA INTERNA DP SAGITAL
  • RESONANCIA NORMAL RODILLA SAG DENSIDAD PROTONICA
  • RESONANCIA PATOLÓGICA DE HOMBRO - FRACTURA TROQUITER Y EDEMA OSEO -  COR T2 WF
  • RESONANCIA NORMAL RODILLA SAG T1
  • RESONANCIA PATOLÓGICA DE MUÑECA - FRACTURA ESCAFOIDES
  • RESONANCIA NORMAL PIE SAG T1
  • RESONANCIA NORMAL MUÑECA COR T1
  • RESONANCIA PATOLÓGICA EDEMA OSEO Y DERRAME ARTICULAR
  • RESONANCIA NORMAL MUÑECA COR T1 3D FATSAT
  • RESONANCIA PATOLÓGICA DE CADERAS - FRACTURA CUELLO FEMORAL -  COR T1
  • RESONANCIA NORMAL HOMBRO COR T2 WF
  • RESONANCIA PATOLÓGICA DE CRANEO - MENINGIOMA -  SAG T1
  • RESONANCIA NORMAL HOMBRO COR T1
  • RESONANCIA NORMAL CRANEAL T2 AXIAL
  • RESONANCIA PATOLÓGICA DE C.CERVICAL -  SAG T2
  • RESONANCIA NORMAL CRANEAL T2 AXIAL
  • RESONANCIA PATOLÓGICA DE C.LUMBAR - HERNIA DE DISCO L5-S1 -  SAG T2
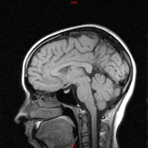
  • RESONANCIA NORMAL CRANEAL T1 SAGITAL
  • RESONANCIA NORMAL CRANEAL FLAIR CORONAL
  • RESONANCIA NORMAL CRANEAL T1 AXIAL
  • RESONANCIA NORMAL COLUMNA DORSAL T2 SAGITAL
  • RESONANCIA NORMAL CAIS T2 CORONAL
  • RESONANCIA NORMAL CAIS T2 AXIAL
  • RESONANCIA PATOLÓGICA DE C.CERVICAL -  SAG T2
  • RESONANCIA NORMAL CADERAS T2 CORONAL
  • RESONANCIA NORMAL CADERAS T1 CORONAL
  • RESONANCIA PATOLÓGICA MENISCOPATIA INTERNA DP SAGITAL
  • ANGIO CEREBRAL / POLIGONO WILLIS SIN PATOLOGIA TOF
  • RESONANCIA PATOLÓGICA DE CRANEO - MENINGIOMA -  SAG T2
Escritor Francisco Montes Aguilera s/n, 11100, San Fernando (Cádiz)
956 59 72 88
sanfernando@cmdi.es
Nº de registro sanitario: 1527

Copyright 2023 | Todos los derechos reservados | Aviso legal | Uso de cookies | Calidad certificada | Politica de Seguridad | Empleo